COSMETIC
DENTISTRY
Healthy Teeth, Healthy Body
Healthy Teeth, Healthy Body
Bonding is useful for improving small irregularities but is less successful than veneers in the treatment of some problems.
The tooth is prepared by etching its surface with gel. The surface is then painted with a bonding liquid that sets firmly when a special light is shone on it. Putty like resin is moulded onto the tooth and shaped. The light is again used to harden it.
Finally, the set resin is trimmed and polished. Bonding is similar to veneers, but not as strong, but is a low-cost way to improve your smile.
Bonding is also great for children who have chipped front teeth and for adults who need an alternative for veneers and understand the limitations.
In Dentistry Office (45 minutes)
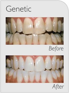
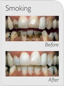
Zoom is not only proven to whiten teeth up to eight shades, it’s also safe. While other whitening products can harm teeth and gums, using Zoom with application of a sensitive relief agent, actually gives you greater luster and protects enamel.
Zoom is only available at a dentist’s office to ensure optimum safety, and comes in different treatment types and strengths to fit your lifestyle and sensitivity.




Home Kit Whitening
Bleaching is an effective way to lighten discoloured teeth that have not responded sufficiently to professional cleaning. It is a safe procedure when done by a qualified dentist.
Your dentist will take an impression of your teeth so that a custom made mouth tray can be made. This holds the bleaching gel close to your teeth. The gums do not normally come in contact with the bleach. Wearing the tray for 30 min to two hours every day will gradually lighten the teeth. Some bleaching agents can be used all night, although this may cause irritation of gums and mouth in some people.
Most mouth trays are light enough to permit talking and working with them in place. Good results usually occur within two weeks. The daily bleaching process can be continued until you are happy with the appearance of your teeth.
However it is not always possible to achieve white teeth. Your dentist will advise you on how long you should use the mouth tray each day and the duration of overall treatment.
These are thin, tooth coloured porcelain (ceramic) shells carefully crafted to bond to and cover the front of unsightly teeth.
They are a more conservative treatment than a crown and can often be used as an alternative if the underlying tooth is strong and healthy. If your teeth are chipped, broken, or discoloured, veneers are a great way to change the colour and shape of your teeth.
A porcelain veneer is a covering over the tooth that gives natural colour and bridges small gaps. Veneers can be a great alternative to braces for slight orthodontic problems and provide a beautiful smile in a short amount of time.
INLAYS
Inlays are fillings that were traditionally made of gold but now are often made of porcelain, ceramic or composite material.
They are used to repair moderately damaged back teeth and need to be extremely strong to withstand the grinding pressures of these teeth.
Inlays are glued into place and are contained within the cusp tips of the tooth. Special glue is used to increase the strength of the bond.
ONLAYS
Onlays are made of the same material as inlays, an onlay is a more extensive repair that covers tooth cusps.
An onlay is much stronger than any other type of filling and actually increases the strength of the tooth.
The outside of each tooth is made of enamel, which is extremely hard. Although teeth are strong and difficult to break, trauma (such as a fall) may chip or break them.
Tooth decay may also severely weaken a tooth, with a high risk that the tooth may fall apart. Root canal treatment, where the pulp of the tooth containing nerves and blood vessels is removed, can also weaken a tooth, especially if it has large fillings.
Teeth may also wear down over time. In these cases, a crown fits over the existing natural tooth and replaces the natural crown, the part of the tooth seen above the gums.
Bridges replace one or more missing teeth.
They consist of an artificial tooth anchored to the natural teeth on each side of the gap. If a tooth is lost through an accident, or is too badly decayed to save with a crown, a bridge may be the treatment of choice.
You can also ask your dentist or prosthodontist about implants, which are another way of replacing missing teeth.
Crowns and bridges are usually made of porcelain and gold alloy. Porcelain is strong and can be made to match the colour of the natural teeth. It is resistant to staining and can be cleaned if it becomes stained.
Gold alloy is used for its strength, hardness and durability. It is especially useful for molars which must withstand the forces of grinding and crushing. Gold alloy and porcelain are well tolerated by the gum and cheek.
Implants are an increasingly popular alternative to dentures, crowns and bridges. They have many advantages, including their natural appearance, improved comfort and unequalled convenience. If you are considering implants, we can discuss the considerations and help you make the decision that is right for you.
![]()
SUNDALE, MERITON TOWER
4/2 Como Crescent, Southport
![]()
07 5591 7544
Call Us Now!
![]()
Mon – Fri 08:30 – 18:00
Sat: 08:30 – 14:00
![]()
EMAIL US
info@starsmiledentist.com.au